Improvements at JSMK in Maternity Care and Lab Capacity
- Tyler Bradley
- Dec 23, 2021
- 3 min read
Updated: Oct 9, 2025
Karen State, Burma

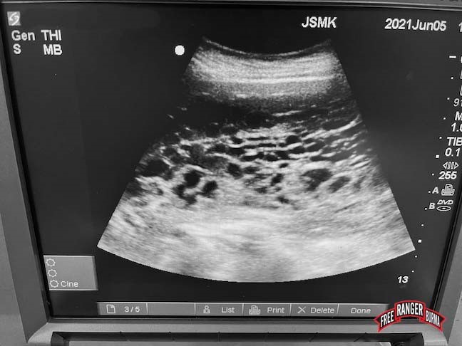
This year FBR’s Jungle School of Medicine-Kawthoolei (JSMK) introduced a life-saving procedure for mothers experiencing a particularly dangerous problem: a molar pregnancy. The procedure is the first step in the treatment of molar pregnancies, which are a sort of false pregnancy in which the womb is filled with inert tissue that can become cancerous if not removed. While molar pregnancies are uncommon elsewhere, women from South-East Asia are more prone to suffer from them. In 2021 alone, JSMK saw four women with molar pregnancies. They arrived from surrounding villages in the mountains of Karen State, accompanied by family members, and complaining of bleeding and pain.



The molar pregnancy procedure, called Dilation and Curettage (D&C) was introduced this year during the monsoon season by Dr John Shaw, JSMK’s international medical director. He normally practices in the United States, but traveled to JSMK three times this year to teach in the local medic training program, supervise the clinic, and perform minor surgeries. He performed the D&C procedure while teaching it to Toh Win, JSMK’s medical director, as well as to Dr. Remeline Damasco, another American visiting physician at JSMK. Dr. Damasco then performed the procedure on one patient, and Toh has done it four times thus far, treating one molar pregnancy, and three incomplete miscarriages. The necessary equipment was graciously donated in 2020.


Thanks to the introduction of D&C for initial treatment of molar pregnancy, the lives of four young mothers were saved at JSMK. The women were then referred to another clinic in Karen State for subsequent testing and additional treatment to prevent any progression of the disease to cancer. By performing the D&C and arranging treatment and follow-up with our partner clinic, JSMK was able to manage molar pregnancy locally. In the past, the condition was managed by referral to a neighboring country, but that option is not currently available due to the Covid pandemic and the coup in Myanmar. In addition, as the entire treatment may require two months of care, this localized care permits women to remain closer to home and family.
Maternal mortality related to pregnancy and childbirth problems is particularly high in Karen State, and in addition to other efforts, we are grateful to employ these skills to manage the particular threat of molar pregnancy.
Additionally, in 2021 JSMK acquired a new and sophisticated laboratory microscope whose precision can more accurately identify disease pathogens and lead to better diagnoses and treatments. JSMK’s laboratory has had microscopes for ten years, but the new one raises its diagnostic capability to a higher level. In our new dedicated laboratory building, equipment is kept clean, dry, and dust-free to a far greater degree than in the past.


Chief laboratory technician Moo Nee recently returned from two years of laboratory training. FBR then invested $1300 USD in this new model, an Olympus CX23 (the microscope Moo Nee had been trained on), and shipped it in via boat, pickup truck, and lastly lugged along the mountain trails by human carriers to the clinic.
Using the new model of microscope, Moo Nee was recently able to identify the tuberculosis bacillus in a sputum sample, which enabled the medics to correctly treat a patient for TB. It is used every day, diagnosing malaria, examining sputum samples, and studying urine, stool and pus to detect infections common in Karen State.
Thank you and God bless you, and Merry Christmas!
JSMK




